Missing teeth can make it difficult to take pride in your smile. Smiles have the power to make lasting impressions, and that can be hard to do with an incomplete set of teeth. You may even experience problems chewing and speaking with ease and comfort.
You don’t need to live without a full set of teeth. Dental implants offer a natural-looking, permanent solution to tooth loss. You deserve to smile, speak, and enjoy your favorite foods with confidence.
At ReImage Dental Studio, Scottsdale dentist Dr. Brent Call is proud to offer various implant treatments for your convenience. We’re proud to provide expert dental care and service to patients in the Scottsdale, Phoenix, and Tempe, AZ areas.

we believe you deserve a smile that looks and feels complete. Dental implants are a fantastic, long-term solution to replace missing teeth and restore your confidence. They act as a stable new root, usually crafted from titanium, which safely and naturally bonds with your bone over time.
Your new smile is built on three key parts:
Beyond just looking great, implants improve your oral health by preserving your jawbone and keeping your other teeth exactly where they belong. From your first consultation to the final reveal of your beautiful new crown, our team is dedicated to your comfort and care throughout the entire journey.
There are several reasons why dental implants are the most sought-after form of tooth restoration. Some benefits of dental implants include:

Patients who want a sturdy and reliable solution for tooth loss may benefit from dental implants. Dr. Call may recommend implants to patients struggling with:
If your jawbone has atrophied too much from tooth loss, Dr. Call may recommend bone grafting as a complementary treatment to prepare you for dental implants.
If you have gum disease or another underlying oral health issue, we’ll provide treatment before placing your implant. Patients that are pregnant will need to wait until after their pregnancy to move forward with dental implants.

At Reimage Dental Studio in Scottsdale, dental implants aren’t treated like a one-size-fits-all treatment. That’s why we offer a variety of implant restorations, including:
You’ll first attend a consultation with our dentist Dr. Call, where he’ll determine if dental implants are right for you and if you’re eligible to receive them. He’ll work with you to create a personalized treatment plan based on your individual needs.
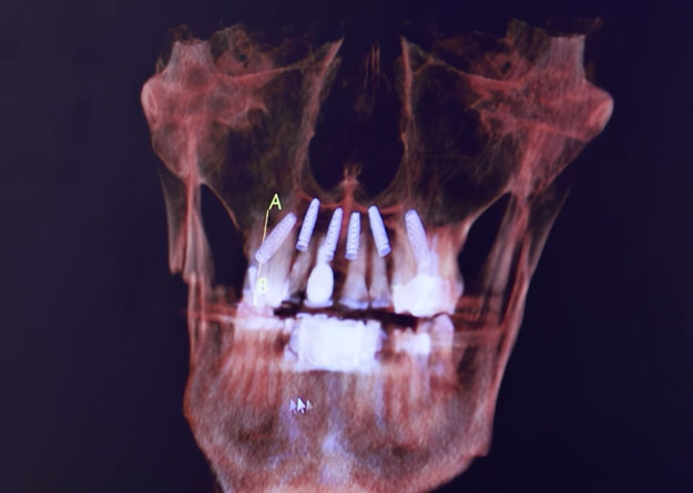
Most patients can receive their implant restorations in as few as two visits to our Scottsdale office. Our onsite 3D imaging technology also allows us to take in-depth images of your jawbone to find the best placement site and map out a treatment plan that will provide the best results.
At your first appointment, Dr. Call will begin by administering a local anesthetic to ensure you don’t feel any pain during the procedure. We also offer dental sedation methods for patients with dental anxiety or difficulty getting numb from anesthesia alone.
Once the numbness sets in, Dr. Call will insert your implant directly into your jawbone. He’ll then place a temporary crown to protect your implant site while osseointegration occurs. This is the process in which your implant fixtures fuse to your jawbone for a lifelong restoration. Osseointegration typically takes four to six months to complete.
You’ll return to our Scottsdale office after your mouth has healed from your implant procedure. Dr. Call will remove your temporary crown and place your customized restoration. He’ll ensure that whatever restoration you choose will be customized to seamlessly blend in with your natural smile. Once Dr. Call places and fixes the restoration into place, you’re free to leave our Scottsdale office with a beautiful, functional smile!